Các bệnh thường gặp khi nồm ẩm và cách phòng ngừa
Thời tiết nồm ẩm làm gia tăng độ ẩm không khí, tạo cơ hội [...]
Th3
Hướng dẫn kết nối máy tính để chơi game PC trực tiếp trên TV cho trải nghiệm gaming tuyệt vời
Valve có thể đã ngừng cung cấp phần cứng nhưng bạn vẫn có thể sử [...]
Th3
“Chia sẻ cách làm nước cốt dừa thượng hạng cho chè thơm ngon và bảo quản lâu”
Nước cốt dừa thường dùng để ăn kèm với bánh, hoặc ăn cùng với các [...]
Th3
12 quán hủ tiếu chay ngon và bổ dưỡng không thể bỏ lỡ tại Sài Gòn
Sài Gòn nổi tiếng với nền ẩm thực cực kỳ đa dạng. Đến thành phố [...]
Th3
Ngôi nhà màu hồng độc đáo của nữ thiết kế thời trang ở Mỹ: Nghệ thuật sống đẳng cấp
Ngôi nhà màu hồng độc đáo của nữ thiết kế thời trang ở Mỹ 12/12/2019 [...]
Th3
Thành phố trên đỉnh núi Mexico: Lâu đài nổi lung linh như tranh vẽ
Lâu đài nổi trên hồ nước Sol de Oriente là địa điểm nghỉ dưỡng ưa [...]
Th3
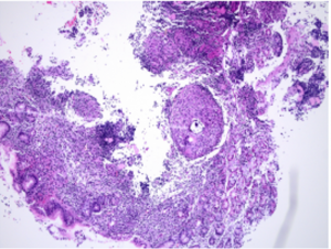
Bệnh viện Đa khoa MEDLATEC chẩn đoán và điều trị trường hợp mắc lao dạ dày rất hiếm gặp
Với việc quy tụ đội ngũ chuyên gia đầu ngành cùng hệ thống trang [...]
Th3
Làm thế nào để loại bỏ đối tượng không mong muốn khỏi hình ảnh trong Photoshop?
Hãy hình dung một bức ảnh tuyệt đẹp về một bãi biển lúc hoàng hôn [...]
Th3
Bí Quyết Ăn Uống Cho Chó Poodle Để Phát Triển Tốt Nhất
Chó Poodle là một giống chó thông minh, đáng yêu và được nhiều người yêu [...]
Th3
Giá cập nhật của chó Corgi – Tìm hiểu giá chó Corgi mới nhất
Chó Corgi là một trong những giống chó được yêu thích nhất trên thế giới, [...]
Th3
